转录组是指某个物种特定细胞或组织在某一状态下所转录出来产生的所有转录本的集合。对真核有参生物进行转录组测序,既可定量测定每个转录本在生长过程中和不同的条件下的表达水平的变化,还可以对基因结构进行分析,研究SNP、可变剪切、基因结构优化等信息。通过新一代高通量测序,能够全面快速地获得某一物种特定组织或者器官在某一状态下的几乎所有转录本序列信息,已广泛应用于基础研究、临床诊断和药物研发等领域。

 
 
应用领域
1. 基因表达水平研究
2. 基因结构水平研究

 

 技术路线

 

 

分析内容

 

基础分析
1. 测序质量评估与原始数据过滤,去除接头序列及低质量reads
2. 比对参考基因组或参考基因序列
3. 测序与比对评估(数据比对统计,测序饱和度分析,测序随机性分析)
4. 基因表达统计(基因覆盖度,表达量,表达量丰度分布)
5. 新基因的转录本预测及注释(需有参考基因组,限动植物)
6. 样本关系分析(主成分分析(PCA)、相关性检验、样本聚类图)
7. 差异表达基因分析(两个或两个以上样品)
7.1 差异表达基因筛选
7.2 差异基因火山图
7.3 差异基因表达模式聚类分析(热图)
7.4 差异基因GO功能显著性富集分析
7.5 差异基因Pathway显著性富集分析
7.6 差异基因Reactome显著性富集分析(限部分物种)
7.7 差异基因DO显著性富集分析(限人)互作网络分析
7.8 GSEA分析(GO/KEGG/Reactome/DO)
8. omicmart 在线报告

高级信息分析1.  SNP分析

2. 基因结构优化
3. 基因可变剪切鉴定
4. 趋势分析
 
 
 
 
 
 
 
 

 

 

 

 

 

样品要求/项目周期

 

 

请咨询当地销售了解详情。

 

 

 

 

参考文献

[1] Liu C H, Liu Y, Shao X H, et al. Comparative Analyses of the Transcriptome and Proteome of Comte de Paris and Smooth Cayenne to Improve the Understanding of Ethephon-Induced Floral Transition in Pineapple[J]. Cellular Physiology and Biochemistry, 2018, 50(6): 2139-2156.
[2] Yuan K, Xie X, Wang X, et al. Transcriptional response of Mycobacterium sp. strain A1-PYR to multiple polycyclic aromatic hydrocarbon contaminations[J]. Environmental Pollution, 2018, 243: 824-832.
[3] Zheng T, Qi P F, Cao Y L, et al. Mechanisms of wheat (Triticum aestivum) grain storage proteins in response to nitrogen application and its impacts on processing quality[J]. Scientific reports, 2018, 8(1): 11928.
[4] Guo J, Qi J, He K, et al. The Asian corn borer Ostrinia furnacalis feeding increases the direct and indirect defense of mid‐whorl stage commercial maize in the field[J]. Plant biotechnology journal, 2018.
[5] Li N, Yang L, Qi X K, et al. BET bromodomain inhibitor JQ1 preferentially suppresses EBV-positive nasopharyngeal carcinoma cells partially through repressing c-Myc[J]. Cell death & disease, 2018, 9(7): 761.
 
 

 

 

 

Q1转录组测序需要多少数据量?

A:这个因研究的物种和研究需求而异。常规的动植物物种我们一般推荐6G数据量,基因组比较小的原核生物或真菌推荐可测3G。而对于部分基因数目较多的物种、老师关注的基因表达丰度较低的项目、病原宿主互作项目,可根据情况适当增加数据量。

 

 

Q2有参比对到基因组还是转录本?

A:有参物种有两种选择:

1)比对基因组;

2)比对到转录本,理论上这两种选择的分析结果应该是大同小异的。

 

Q3对于参考基因组不好的情况下,选择无参还是有参?

A:只要有参考基因组,优先推荐使用参考基因组来做分析。对于基因组拼接来说比较难的部分是重复区,基因组装质量不好主要是因为重复序列。基因组编码区的序列无论是杂合率或重复性都比较好,所以相对容易拼接。编码区的组装质量一般较好。所以优先使用参考基因组。

 

 

Q4转录组找snp 或者编辑位点要去RNA 冗余吗?

A:不需要。重测序的话,的确需要去除PCR导致的冗余。但RNA-seq产生的read 冗余,可能是真实的冗余。这是因为RNA-seq的测序深度大大高于重测序。RNA-seq call SNP要解决的问题主要不是reads 冗余,其主要有2个问题会影响SNP 准确性:

1)基因编辑,基因编辑的存在会导致很多SNP变异并不是DNA层面的,而是转录过程中修饰导致新的碱基,

2)RNA-seq存在大量可变剪切,容易导致比对错误而产生很多大量假阳性SNP。如果RNA-seq要call SNP,需要把内含子及外显子边界周围(例如5bp以内)的SNP去除掉,因为这些区域的SNP假阳性比较高。

 

 

 

 

 

 

 

 

 

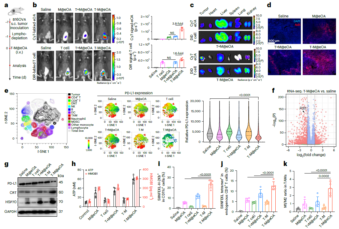
案例 转录组技术验证肿瘤靶向型基因编辑溶瘤病毒的效果

 

合作单位:浙江大学

发表期刊:Nature Biotechnology

 

目的:溶瘤病毒疗法是利用能够选择性在肿瘤细胞内大量复制的病毒摧毁肿瘤细胞。在此过程中,所激发免疫反应以招募更多的免疫细胞继续杀死残余的肿瘤细胞。然而,溶瘤病毒来源的治疗方法也面临着一些挑战,如何有效地将溶瘤病毒输送到肿瘤部位,以及如何克服肿瘤微环境的免疫抑制作用是目前该疗法亟需解决的问题。

 取材:人原位脑瘤模型、人原位肺癌、人胰腺癌PDX模型中使用新技术、单独溶病毒、T细胞治疗的样本进行转录组测序。

 

 结果:该技术首先构建了一个表达CRISPR/Cas9的溶瘤腺病毒,使用含有特定抗原表达的生物膜对该溶瘤腺病毒进行膜包被,再通过T细胞表面的T细胞受体携带膜包被的基因编辑溶瘤腺病毒(命名为eOA)。该研究发现,T细胞能够增强eOA的实体瘤靶向输送,通过在瘤内基因编辑PD-L1基因改善肿瘤微环境,可以同时增强溶瘤病毒疗法和过继T细胞疗法的实体瘤治疗。为进一步推进临床转化,团队对ONCOTECH技术进行了升级,使用了表达特定抗原的HEK293细胞来制备含有基因编辑溶瘤病毒的囊泡,再使其携带到特定抗原的CAR-T细胞表面,使用具有人免疫系统的人源化小鼠,在人原位脑瘤模型、人原位肺癌、人胰腺癌PDX模型中使用转录组测序进一步验证了该系统的治疗效果,并且比单独使用溶病毒或T细胞的疗效更佳。此外,ONCOTECH也能够诱导肿瘤的长期免疫记忆,防止肿瘤的复发。

 

 

图1. ONCOTECH重塑免疫抑制性肿瘤微环境

 

 

 

参考文献

Chen Y, Chen X, Bao W, et al. An oncolytic virus–T cell chimera for cancer immunotherapy[J]. Nature Biotechnology, 2024, 42(12): 1876-1887.